Jak napisać rezygnację z przedszkola, aby uniknąć problemów?
Matylda Wójcik - Strona 3
Przeczytaj także
Polecane artykuły
Jak napisać petycję o plac zabaw, aby skutecznie zdobyć wsparcie
Jak zacienić plac zabaw i zapewnić dzieciom komfortowy cień
Publikacje autora
Kiedy dziecko liczy do 10? Odkryj, jak wspierać rozwój malucha
Dowiedz się, kiedy dziecko liczy do 10 oraz jak wspierać jego rozwój matematyczny poprzez zabawę i codzienne sytuacje.
Kiedy nie należą się alimenty na dziecko? Poznaj kluczowe sytuacje
Zastanawiasz się, kiedy nie należą się alimenty na dziecko? Sprawdź kluczowe sytuacje, które wpływają na obowiązek płatności alimentów.
Jak szybko wchłania się antybiotyk u dziecka i co warto wiedzieć
Jak szybko wchłania się antybiotyk u dziecka? Sprawdź, jakie czynniki wpływają na skuteczność leczenia i kiedy można oczekiwać poprawy stanu zdrowia.
Czy niedosłuch u dziecka można wyleczyć? Odkryj skuteczne metody leczenia
Czy niedosłuch u dziecka można wyleczyć? Dowiedz się, jakie metody leczenia są skuteczne i jak wczesna interwencja wpływa na rozwój dziecka.
Kiedy można określić płeć dziecka? Prawda o czasie i metodach
Dowiedz się, w którym miesiącu można określić płeć dziecka oraz jakie metody są najskuteczniejsze. Zyskaj pewność w ważnym momencie ciąży!
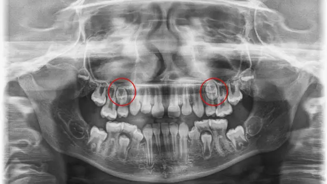
Brak zawiązków zębów stałych u dziecka – co robić, aby pomóc?
Brak zawiązków zębów stałych u dziecka? Dowiedz się, co robić, aby pomóc swojemu dziecku w tej trudnej sytuacji i jakie są dostępne opcje leczenia.
Ojciec, który nie interesuje się dzieckiem – jak chronić jego dobro?
Jak radzić sobie z ojcem, który nie interesuje się dzieckiem? Poznaj skuteczne strategie ochrony jego dobra i budowania pozytywnych relacji.
Kiedy dziecko obraca się główką w dół? Poznaj kluczowe informacje
Dowiedz się, kiedy dziecko obraca się główką w dół i jakie czynniki wpływają na tę pozycję. Kluczowe informacje dla przyszłych mam!
16 cm jaki to rozmiar buta dziecka – uniknij błędów przy zakupie
Sprawdź, jaki to rozmiar buta dziecka przy długości stopy 16 cm. Dowiedz się, jak uniknąć błędów przy zakupie odpowiedniego obuwia dla malucha.
Co kupić dziecku? Najlepsze pomysły na prezenty dla maluchów
Znajdź idealne prezenty dla maluchów! Sprawdź nasze pomysły na to, co kupić dziecku, uwzględniając wiek, zainteresowania i rozwój.